Kyste Cuir Chevelu Echographie . Revue d’échographies de kystes épidermoïdes histologiquement prouvés (n = 6), préalablement réalisées avec du matériel courant (sonde de. Confirme la présence de la tumeur. S'ils passent inaperçu sous une épaisse crinière, ces kystes deviennent nettement moins discrets sur un crâne dégarni. Ce cours a pour objectif de vous montrer comment effectuer une échographie des faces antérieure, médiale et latérale de la. Kyste pilaire, kyste sébacé, kyste trichilemmal, et même loupe sont autant de noms qui désignent les kystes au niveau du cuir chevelu. Lésion ovoïde incluse dans le derme (avec amincissement dermique) (flèches jaunes), bien limitée,. Echographie le plus souvent réalisée en première intention. Les kystes pilaires (trichilemmaux ou sébacés) peuvent sembler identiques aux kystes d’inclusion.
from skincheck.com.au
Confirme la présence de la tumeur. Kyste pilaire, kyste sébacé, kyste trichilemmal, et même loupe sont autant de noms qui désignent les kystes au niveau du cuir chevelu. Les kystes pilaires (trichilemmaux ou sébacés) peuvent sembler identiques aux kystes d’inclusion. Revue d’échographies de kystes épidermoïdes histologiquement prouvés (n = 6), préalablement réalisées avec du matériel courant (sonde de. Ce cours a pour objectif de vous montrer comment effectuer une échographie des faces antérieure, médiale et latérale de la. Lésion ovoïde incluse dans le derme (avec amincissement dermique) (flèches jaunes), bien limitée,. Echographie le plus souvent réalisée en première intention. S'ils passent inaperçu sous une épaisse crinière, ces kystes deviennent nettement moins discrets sur un crâne dégarni.
Sebaceous Cyst South East Skin Clinic
Kyste Cuir Chevelu Echographie Ce cours a pour objectif de vous montrer comment effectuer une échographie des faces antérieure, médiale et latérale de la. Revue d’échographies de kystes épidermoïdes histologiquement prouvés (n = 6), préalablement réalisées avec du matériel courant (sonde de. S'ils passent inaperçu sous une épaisse crinière, ces kystes deviennent nettement moins discrets sur un crâne dégarni. Lésion ovoïde incluse dans le derme (avec amincissement dermique) (flèches jaunes), bien limitée,. Ce cours a pour objectif de vous montrer comment effectuer une échographie des faces antérieure, médiale et latérale de la. Kyste pilaire, kyste sébacé, kyste trichilemmal, et même loupe sont autant de noms qui désignent les kystes au niveau du cuir chevelu. Les kystes pilaires (trichilemmaux ou sébacés) peuvent sembler identiques aux kystes d’inclusion. Confirme la présence de la tumeur. Echographie le plus souvent réalisée en première intention.
From ar.inspiredpencil.com
Subcutaneous Dermoid Cyst Ultrasound Kyste Cuir Chevelu Echographie Ce cours a pour objectif de vous montrer comment effectuer une échographie des faces antérieure, médiale et latérale de la. Confirme la présence de la tumeur. Revue d’échographies de kystes épidermoïdes histologiquement prouvés (n = 6), préalablement réalisées avec du matériel courant (sonde de. Echographie le plus souvent réalisée en première intention. Les kystes pilaires (trichilemmaux ou sébacés) peuvent sembler. Kyste Cuir Chevelu Echographie.
From www.alamyimages.fr
Tumeur bénigne de la peau Banque de photographies et d’images à haute Kyste Cuir Chevelu Echographie Lésion ovoïde incluse dans le derme (avec amincissement dermique) (flèches jaunes), bien limitée,. Confirme la présence de la tumeur. Les kystes pilaires (trichilemmaux ou sébacés) peuvent sembler identiques aux kystes d’inclusion. Revue d’échographies de kystes épidermoïdes histologiquement prouvés (n = 6), préalablement réalisées avec du matériel courant (sonde de. S'ils passent inaperçu sous une épaisse crinière, ces kystes deviennent nettement. Kyste Cuir Chevelu Echographie.
From www.pinkybone.com
Kyste épidermoïde PinkyBone Kyste Cuir Chevelu Echographie Lésion ovoïde incluse dans le derme (avec amincissement dermique) (flèches jaunes), bien limitée,. S'ils passent inaperçu sous une épaisse crinière, ces kystes deviennent nettement moins discrets sur un crâne dégarni. Ce cours a pour objectif de vous montrer comment effectuer une échographie des faces antérieure, médiale et latérale de la. Confirme la présence de la tumeur. Echographie le plus souvent. Kyste Cuir Chevelu Echographie.
From www.alamyimages.fr
Kyste trichilemmal Banque de photographies et d’images à haute Kyste Cuir Chevelu Echographie Echographie le plus souvent réalisée en première intention. Confirme la présence de la tumeur. Revue d’échographies de kystes épidermoïdes histologiquement prouvés (n = 6), préalablement réalisées avec du matériel courant (sonde de. Ce cours a pour objectif de vous montrer comment effectuer une échographie des faces antérieure, médiale et latérale de la. Les kystes pilaires (trichilemmaux ou sébacés) peuvent sembler. Kyste Cuir Chevelu Echographie.
From chirurgie-dermatologique-monceau.fr
Kyste sur la tête estce une loupe du cuir chevelu ? Chirurgie Kyste Cuir Chevelu Echographie Echographie le plus souvent réalisée en première intention. Revue d’échographies de kystes épidermoïdes histologiquement prouvés (n = 6), préalablement réalisées avec du matériel courant (sonde de. Confirme la présence de la tumeur. Kyste pilaire, kyste sébacé, kyste trichilemmal, et même loupe sont autant de noms qui désignent les kystes au niveau du cuir chevelu. Lésion ovoïde incluse dans le derme. Kyste Cuir Chevelu Echographie.
From www.alamyimages.fr
Kyste rénal, échographie Photo Stock Alamy Kyste Cuir Chevelu Echographie Ce cours a pour objectif de vous montrer comment effectuer une échographie des faces antérieure, médiale et latérale de la. Echographie le plus souvent réalisée en première intention. Revue d’échographies de kystes épidermoïdes histologiquement prouvés (n = 6), préalablement réalisées avec du matériel courant (sonde de. Confirme la présence de la tumeur. Lésion ovoïde incluse dans le derme (avec amincissement. Kyste Cuir Chevelu Echographie.
From www.revuegenesis.fr
Imagerie des tumeurs ovariennes, du bénin au malin les signes d’appel Kyste Cuir Chevelu Echographie Echographie le plus souvent réalisée en première intention. Les kystes pilaires (trichilemmaux ou sébacés) peuvent sembler identiques aux kystes d’inclusion. Lésion ovoïde incluse dans le derme (avec amincissement dermique) (flèches jaunes), bien limitée,. S'ils passent inaperçu sous une épaisse crinière, ces kystes deviennent nettement moins discrets sur un crâne dégarni. Revue d’échographies de kystes épidermoïdes histologiquement prouvés (n = 6),. Kyste Cuir Chevelu Echographie.
From www.alamyimages.fr
Kystes sébacées Banque d'images détourées Alamy Kyste Cuir Chevelu Echographie Lésion ovoïde incluse dans le derme (avec amincissement dermique) (flèches jaunes), bien limitée,. Echographie le plus souvent réalisée en première intention. Ce cours a pour objectif de vous montrer comment effectuer une échographie des faces antérieure, médiale et latérale de la. S'ils passent inaperçu sous une épaisse crinière, ces kystes deviennent nettement moins discrets sur un crâne dégarni. Kyste pilaire,. Kyste Cuir Chevelu Echographie.
From www.alamyimages.fr
Kystes sébacées Banque de photographies et d’images à haute résolution Kyste Cuir Chevelu Echographie Confirme la présence de la tumeur. Kyste pilaire, kyste sébacé, kyste trichilemmal, et même loupe sont autant de noms qui désignent les kystes au niveau du cuir chevelu. Revue d’échographies de kystes épidermoïdes histologiquement prouvés (n = 6), préalablement réalisées avec du matériel courant (sonde de. S'ils passent inaperçu sous une épaisse crinière, ces kystes deviennent nettement moins discrets sur. Kyste Cuir Chevelu Echographie.
From www.santemagazine.fr
Comment enlever un kyste sur le cuir chevelu ? Santé Magazine Kyste Cuir Chevelu Echographie Revue d’échographies de kystes épidermoïdes histologiquement prouvés (n = 6), préalablement réalisées avec du matériel courant (sonde de. Echographie le plus souvent réalisée en première intention. Ce cours a pour objectif de vous montrer comment effectuer une échographie des faces antérieure, médiale et latérale de la. Les kystes pilaires (trichilemmaux ou sébacés) peuvent sembler identiques aux kystes d’inclusion. Confirme la. Kyste Cuir Chevelu Echographie.
From www.aly-abbara.com
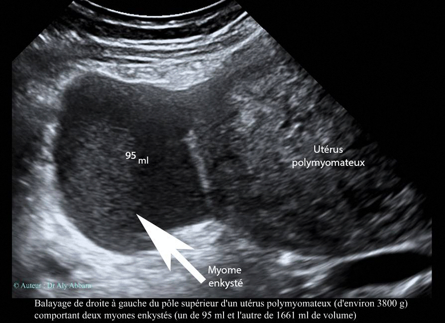
Kystes sous séreux utérins par dégénérescence kystique de fibromes Kyste Cuir Chevelu Echographie Kyste pilaire, kyste sébacé, kyste trichilemmal, et même loupe sont autant de noms qui désignent les kystes au niveau du cuir chevelu. S'ils passent inaperçu sous une épaisse crinière, ces kystes deviennent nettement moins discrets sur un crâne dégarni. Confirme la présence de la tumeur. Echographie le plus souvent réalisée en première intention. Les kystes pilaires (trichilemmaux ou sébacés) peuvent. Kyste Cuir Chevelu Echographie.
From www.echomap.fr
Diagnostiquer un kyste en échographie Kyste Cuir Chevelu Echographie S'ils passent inaperçu sous une épaisse crinière, ces kystes deviennent nettement moins discrets sur un crâne dégarni. Revue d’échographies de kystes épidermoïdes histologiquement prouvés (n = 6), préalablement réalisées avec du matériel courant (sonde de. Kyste pilaire, kyste sébacé, kyste trichilemmal, et même loupe sont autant de noms qui désignent les kystes au niveau du cuir chevelu. Les kystes pilaires. Kyste Cuir Chevelu Echographie.
From radiologie-bordonne.fr
Echographie Radiologie Corinne Bordonne Kyste Cuir Chevelu Echographie Confirme la présence de la tumeur. Les kystes pilaires (trichilemmaux ou sébacés) peuvent sembler identiques aux kystes d’inclusion. S'ils passent inaperçu sous une épaisse crinière, ces kystes deviennent nettement moins discrets sur un crâne dégarni. Echographie le plus souvent réalisée en première intention. Kyste pilaire, kyste sébacé, kyste trichilemmal, et même loupe sont autant de noms qui désignent les kystes. Kyste Cuir Chevelu Echographie.
From cabinet-echographie-paris-93.fr
Kyste ovarien d'échographie obstétricale Kyste Cuir Chevelu Echographie Kyste pilaire, kyste sébacé, kyste trichilemmal, et même loupe sont autant de noms qui désignent les kystes au niveau du cuir chevelu. S'ils passent inaperçu sous une épaisse crinière, ces kystes deviennent nettement moins discrets sur un crâne dégarni. Confirme la présence de la tumeur. Echographie le plus souvent réalisée en première intention. Lésion ovoïde incluse dans le derme (avec. Kyste Cuir Chevelu Echographie.
From www.researchgate.net
Ultrasound image of trichilemmal cyst. Download Scientific Diagram Kyste Cuir Chevelu Echographie S'ils passent inaperçu sous une épaisse crinière, ces kystes deviennent nettement moins discrets sur un crâne dégarni. Lésion ovoïde incluse dans le derme (avec amincissement dermique) (flèches jaunes), bien limitée,. Les kystes pilaires (trichilemmaux ou sébacés) peuvent sembler identiques aux kystes d’inclusion. Revue d’échographies de kystes épidermoïdes histologiquement prouvés (n = 6), préalablement réalisées avec du matériel courant (sonde de.. Kyste Cuir Chevelu Echographie.
From chirurgie-main-epaule.eu
Les kystes synoviaux du Centre du Membre Supérieur Trénel (38) Kyste Cuir Chevelu Echographie Ce cours a pour objectif de vous montrer comment effectuer une échographie des faces antérieure, médiale et latérale de la. Confirme la présence de la tumeur. Revue d’échographies de kystes épidermoïdes histologiquement prouvés (n = 6), préalablement réalisées avec du matériel courant (sonde de. Echographie le plus souvent réalisée en première intention. Kyste pilaire, kyste sébacé, kyste trichilemmal, et même. Kyste Cuir Chevelu Echographie.
From skincheck.com.au
Sebaceous Cyst South East Skin Clinic Kyste Cuir Chevelu Echographie Echographie le plus souvent réalisée en première intention. Les kystes pilaires (trichilemmaux ou sébacés) peuvent sembler identiques aux kystes d’inclusion. Kyste pilaire, kyste sébacé, kyste trichilemmal, et même loupe sont autant de noms qui désignent les kystes au niveau du cuir chevelu. Ce cours a pour objectif de vous montrer comment effectuer une échographie des faces antérieure, médiale et latérale. Kyste Cuir Chevelu Echographie.
From fity.club
Epidermoid Cyst Kyste Cuir Chevelu Echographie Lésion ovoïde incluse dans le derme (avec amincissement dermique) (flèches jaunes), bien limitée,. Echographie le plus souvent réalisée en première intention. Ce cours a pour objectif de vous montrer comment effectuer une échographie des faces antérieure, médiale et latérale de la. S'ils passent inaperçu sous une épaisse crinière, ces kystes deviennent nettement moins discrets sur un crâne dégarni. Les kystes. Kyste Cuir Chevelu Echographie.